Recupero funzionale per un paziente con artrosi post-operatoria
Paziente: uomo, 40 anni.
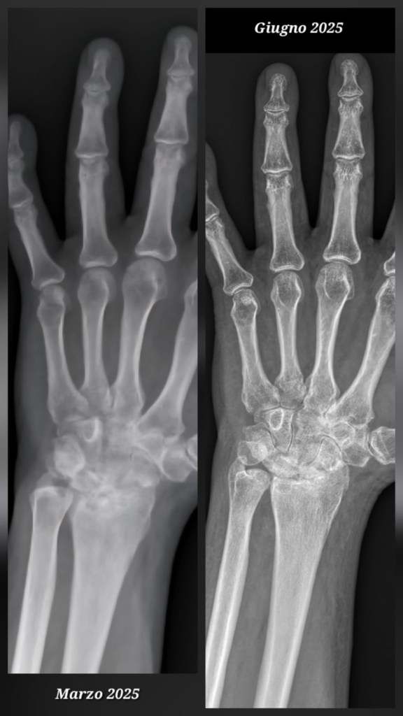
Quadro clinico: un caso clinico che ci ha emozionati: un paziente arriva in studio dopo un’infezione al polso, e successivamente ad un intervento chirurgico la complicanza è dietro l’angolo: artrosi post-operatoria.
Trattamento terapeutico – QMR Therapy: con un ciclo costante di QMR Therapy, in soli 3 mesi ha recuperato la funzionalità, eliminando artrosi e successivamente dolore e rigidità.
Dalla valutazione radiografica emerge una netta differenza rispetto all’esame di marzo, i segni tipici dell’artrosi risultano ridotti a giugno.


Risultati e follow-up: al termine del ciclo di trattamento il paziente ha recuperato il 95% della forza isocinetica rispetto all’altro polso.
Il ritorno all’attività sportiva è avvenuto dopo pochi mesi, con test funzionali nella norma.
L’integrazione con esercizi personalizzati ha permesso di accelerare i tempi di recupero, mantenendo la sicurezza articolare.
Nota clinica: la risposta al trattamento può variare in relazione alla natura della problematica, alla sua durata e alle caratteristiche individuali di risposta dell’organismo. La QMR Therapy è stata utilizzata come supporto complementare alla naturale evoluzione del quadro.
Vuoi sapere se la Qmr Therapy può essere utile nel tuo caso?

LA NUOVA FRONTIERA della RIABILITAZIONE